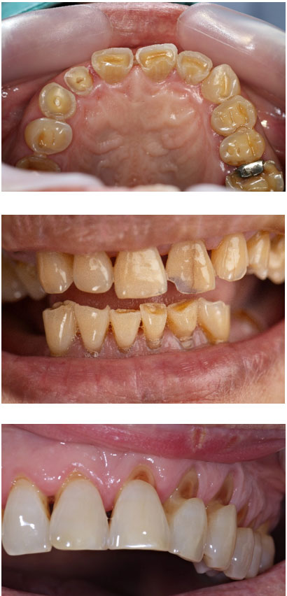
If your teeth appear shorter, flatter, or have worn-down occlusal cusps, you may already be experiencing occlusal trauma. Other warning signs include chipping or fracturing of teeth and restorative work such as fillings, veneers, or crowns. These are not merely cosmetic issues—they indicate that applied forces generated between the upper and lower dentition exceed the tolerance of tooth tissues. When these excessive forces surpass the enamel’s ability to withstand pressure, microfractures, chipping, and accelerated wear occur.

Occlusal wear is a significant clinical phenomenon that affects many individuals, often without them even realizing it. It refers to the gradual loss of tooth structure caused by mechanical forces during biting and chewing. While wear is a normal part of the aging process, it becomes problematic when accelerated by factors such as traumatic occlusal forces. One of the leading causes of these forces is an unstable stomatognathic system — the complex network of muscles, joints, and teeth that work together to facilitate chewing, swallowing, and speaking.

In this article, we’ll explore how an instability within stomatognathic system leads to traumatic occlusal forces and contributes to the development of occlusal wear. We will also look at how disbalanced jaw movements play a key role in disrupting the natural harmony between the jaw, teeth, and temporomandibular joints (TMJ).

The stomatognathic system consists of several interconnected components. The functional surfaces of teeth come into contact during chewing and biting. At the same time temporomandibular Joint (TMJ) connecting the jawbone (mandible) to the skull. The muscles of mastication are responsible for opening, closing, and moving the jaw. Finally Sensory and motor nerves coordinate the system’s activity.

For optimal function, these components must work in harmony. If there is any dysfunction or instability in this system, it can lead to abnormal jaw movements, resulting in misaligned teeth, strained muscles, or even temporomandibular disorders (TMD). Such imbalances can generate abnormal occlusal forces, which often lead to wear on the teeth.

How Traumatic Occlusal Forces Are Generated

Traumatic occlusal forces refer to the excessive or improper forces exerted on the teeth during biting or chewing. These forces can arise from various issues, including:
• Jaw misalignment: A misaligned jaw leads to uneven contact between the teeth, forcing some teeth to absorb more pressure than others.
• Bruxism (teeth grinding): Often related to stress or malocclusion, bruxism can generate excessive forces on teeth, leading to accelerated wear.
• Inadequate occlusion (bite): An improper bite or malocclusion (misalignment of the teeth when the jaws are closed) can create an uneven distribution of forces, leading to specific areas of the teeth receiving excessive pressure.

When the stomatognathic system is unstable, the body’s compensatory mechanisms often cause abnormal jaw movements. These movements can lead to traumatic occlusal forces, where specific teeth bear the brunt of biting forces that would otherwise be evenly distributed.

Disbalanced Jaw Movement and Its Role in Occlusal Wear

Jaw movements are meant to be smooth and coordinated. However, when the system is unstable, disbalanced movements occur. This could include:
• Deviation during opening or closing: A jaw that shifts to one side as it opens or closes can cause uneven forces on the teeth.
• Excessive protrusive or lateral movements: When the jaw moves forward (protrusion) or sideways (lateral movements) too much, it can create unusual pressures on certain teeth.
• Overbite or underbite: These bite discrepancies can cause teeth to come into contact in an abnormal manner, resulting in excess friction or pressure on specific teeth.

In an unstable system, these disbalanced movements lead to traumatic occlusal contacts — points where teeth hit inappropriately, applying undue pressure on certain areas. This can result in wear on the tooth surfaces and, over time, the breakdown of enamel, which is the tooth’s protective outer layer.

The Impact of Occlusal Wear

The consequences of occlusal wear are far-reaching. While wear on teeth might seem like a minor cosmetic issue at first, it can lead to a range of oral health problems, including:
• Tooth sensitivity: As enamel wears down, the underlying dentin becomes exposed, leading to heightened sensitivity to temperature and pressure.
• Increased risk of cavities: Thinning enamel makes teeth more susceptible to decay and cavities.
• Damage to dental restorations: Existing fillings, crowns, or veneers can be damaged or worn away by excessive occlusal forces.
• Temporomandibular joint disorders (TMD): Disbalanced jaw movements often lead to strain on the TMJ, causing pain, dysfunction, and potentially permanent damage.
• Muscle pain and headaches: Overworking the muscles of mastication due to disbalanced jaw movements can result in muscle fatigue, jaw pain, and chronic headaches.

Preventing and Managing Occlusal Wear from an Unstable Stomatognathic System

Early detection and management of occlusal wear are crucial in preventing further damage to the teeth and the stomatognathic system. Here are a few strategies to address the underlying causes:
1. Comprehensive Examination: A thorough assessment by a dentist or orthodontist can help identify any occlusal issues, jaw misalignments, or TMJ disorders contributing to the problem.
2. Orthodontic Treatment: If misalignment of the teeth or jaw is identified, braces or other orthodontic treatments may be necessary to correct the bite and restore harmony to the stomatognathic system.
3. Occlusal Splints: For patients who suffer from bruxism or who have an unstable bite, an occlusal splint (nightguard) can protect the teeth from excessive forces during sleep.
4. Physical Therapy for TMJ: In cases where TMJ dysfunction is contributing to disbalanced jaw movements, physical therapy can help alleviate muscle tension, reduce pain, and improve overall jaw function.
5. Stress Management: For bruxism-related wear, addressing the underlying stress or anxiety through relaxation techniques, therapy, or lifestyle changes can be beneficial.
6. Regular Dental Checkups: Routine visits to the dentist for monitoring occlusal health and timely intervention can help prevent long-term damage.

Accessibility Tools

Increase TextIncrease Text
Decrease TextDecrease Text
GrayscaleGrayscale
Invert Colors
Readable FontReadable Font
Reset