Introduction

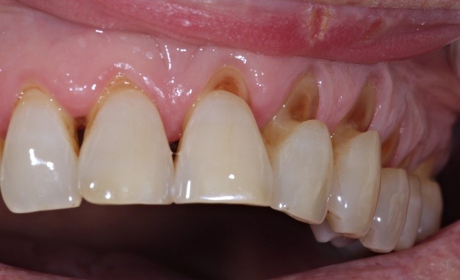
If your teeth appear shorter, flatter, or have worn-down occlusal cusps, you may already be experiencing occlusal trauma. Other warning signs include chipping or fracturing of teeth and restorative work such as fillings, veneers, or crowns. These are not merely cosmetic issues—they indicate that applied forces generated between the upper and lower dentition exceed the tolerance of tooth tissues. When these excessive forces surpass the enamel’s ability to withstand pressure, microfractures, chipping, and accelerated wear occur.
Occlusal wear is a significant clinical phenomenon that affects many individuals, often without them even realizing it. It refers to the gradual loss of tooth structure caused by mechanical forces during biting and chewing. While wear is a normal part of the aging process, it becomes problematic when accelerated by factors such as traumatic occlusal forces. One of the leading causes of these forces is an unstable stomatognathic system — the complex network of muscles, joints, and teeth that work together to facilitate chewing, swallowing, and speaking.

In this article, we’ll explore how an instability within stomatognathic system leads to traumatic occlusal forces and contributes to the development of occlusal wear. We will also look at how disbalanced jaw movements play a key role in disrupting the natural harmony between the jaw, teeth, and temporomandibular joints (TMJ).

The stomatognathic system consists of several interconnected components. The functional surfaces of teeth come into contact during chewing and biting. At the same time temporomandibular Joint (TMJ) connecting the jawbone (mandible) to the skull. The muscles of mastication are responsible for opening, closing, and moving the jaw. Finally Sensory and motor nerves coordinate the system’s activity.

For optimal function, these components must work in harmony. If there is any dysfunction or instability in this system, it can lead to abnormal jaw movements, resulting in misaligned teeth, strained muscles, or even temporomandibular disorders (TMD). Such imbalances can generate abnormal occlusal forces, which often lead to wear on the teeth.
How Traumatic Occlusal Forces Are Generated
Traumatic occlusal forces refer to the excessive or improper forces exerted on the teeth during biting or chewing. These forces can arise from various issues, including:
- A misaligned jaw creates uneven contact between the teeth: When the jaw cannot maintain a stable position within the TMJ capsule, it may shift unpredictably between the articulating surfaces. This instability forces the teeth to constantly adapt in an attempt to achieve occlusal balance, leading to abnormal wear, stress, and discomfort over time.
- Bruxism (teeth grinding): Often related to stress or malocclusion, bruxism can generate excessive forces on teeth, leading to accelerated wear.
- Inadequate occlusion (bite): When the occlusion is inadequate, the teeth are unable to support and protect each other during rest or functional movements. Instead of guiding the jaw smoothly, they create restricted or abrupt contact pathways. Over time, these abnormal forces distract and damage tooth structure, leading to wear, fractures, sensitivity, and discomfort creating further harmful conditions within the system and progressive damage to the structures involved in chewing.
- Uneven tooth contacts: lead to limited and unbalanced interocclusal contact. When certain teeth touch earlier or more heavily than others, they absorb excessive forces, while other teeth fail to make proper contact with their opposing partners. As a result, these under-engaged teeth contribute very little to chewing function and cannot help distribute bite forces across the dental arches. This imbalance places disproportionate pressure on a few teeth instead of allowing all teeth to share the load evenly.
- Tight overlap: A tight or deep overlap can damage the teeth when the jaw attempts to move side-to-side or forward and back. Because the teeth cannot separate smoothly during these movements, they grind against each other instead of gliding, leading to excessive wear, fractures, and the development of cervical wedge defects. This uneven contact can also cause sensitivity to temperature changes. In addition, the chewing muscles must work much harder to disengage the teeth from these restrictive contacts, often resulting in abnormal muscle contraction, fatigue, and discomfort.
- The consequences of occlusal wear
While wear on teeth might seem like a minor cosmetic issue at first, it can lead to a range of oral health problems, including:
- Tooth sensitivity: As enamel wears down, the underlying dentin becomes exposed, leading to heightened sensitivity to temperature and pressure.
- Increased risk of cavities: Thinning enamel makes teeth more susceptible to decay and cavities.
- Damage to dental restorations: Existing fillings, crowns, or veneers can be damaged or worn away by excessive occlusal forces.
- Temporomandibular joint disorders (TMD): Disbalanced jaw movements often lead to strain on the TMJ, causing pain, dysfunction, and potentially permanent damage.
- Muscle pain and headaches: Overworking the muscles of mastication due to disbalanced jaw movements can result in muscle fatigue, jaw pain, and chronic headaches.
- Untreated occlusal wear progression: It creates a snowball effect—deterioration progresses more rapidly over time, leading to increasingly harmful consequences at a much faster rate. As occlusal wear progresses, the deterioration becomes continuous and increasingly difficult to control. In the more advanced stages, the process accelerates, leading to faster breakdown of tooth structure and greater functional instability.
Preventing and Managing Occlusal Wear from an Unstable Stomatognathic System
Early detection and management of occlusal wear are crucial in preventing further damage to the teeth and the stomatognathic system. Here are a few strategies to address the underlying causes:
- Comprehensive Examination: A thorough assessment by a dentist or orthodontist can help identify any occlusal issues, jaw misalignments, or TMJ disorders contributing to the problem.
- Orthodontic Treatment: If misalignment of the teeth or jaw is identified, braces or other orthodontic treatments may be necessary to correct the bite and restore harmony to the stomatognathic system.
- Occlusal Splints: For patients who suffer from bruxism or who have an unstable bite, an occlusal splint (nightguard) can protect the teeth from excessive forces during sleep.
- Physical Therapy for TMJ: In cases where TMJ dysfunction is contributing to disbalanced jaw movements, physical therapy can help alleviate muscle tension, reduce pain, and improve overall jaw function.
- Stress Management: For bruxism-related wear, addressing the underlying stress or anxiety through relaxation techniques, therapy, or lifestyle changes can be beneficial.
- Regular Dental Checkups: Routine visits to the dentist for monitoring occlusal health and timely intervention can help prevent long-term damage.